Расследования Царьграда – плод совместной работы группы аналитиков и экспертов. Мы вскрываем механизм работы олигархических корпораций, анатомию подготовки цветных революций, структуру преступных этнических группировок. Мы обнажаем неприглядные факты и показываем опасные тенденции, не даём покоя прокуратуре и следственным органам, губернаторам и "авторитетам". Мы защищаем Россию не просто словом, а свидетельствами и документами.
«Люди, события, факты» - вы делаете те новости, которые происходят вокруг нас. А мы о них говорим. Это рубрика о самых актуальных событиях. Интересные сюжеты и горячие репортажи, нескучные интервью и яркие мнения.
События внутренней, внешней и международной политики, политические интриги и тайны, невидимые рычаги принятия публичных решений, закулисье переговоров, аналитика по произошедшим событиям и прогнозы на ближайшее будущее и перспективные тенденции, публичные лица мировой политики и их "серые кардиналы", заговоры против России и разоблачения отечественной "пятой колонны" – всё это и многое вы найдёте в материалах отдела политики Царьграда.
Идеологический отдел Царьграда – это фабрика русских смыслов. Мы не раскрываем подковёрные интриги, не "изобретаем велосипеды" и не "открываем Америку". Мы возвращаем утраченные смыслы очевидным вещам. Россия – великая православная держава с тысячелетней историей. Русская Церковь – основа нашей государственности и культуры. Москва – Третий Рим. Русский – тот, кто искренне любит Россию, её историю и культуру. Семья – союз мужчины и женщины. И их дети. Желательно, много детей. Народосбережение – ключевая задача государства. Задача, которую невозможно решить без внятной идеологии.
Экономический отдел телеканала «Царьград» является единственным среди всех крупных СМИ, который отвергает либерально-монетаристские принципы. Мы являемся противниками встраивания России в глобалисткую систему мироустройства, выступаем за экономический суверенитет и независимость нашего государства.
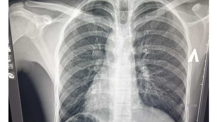
Краснодарские врачи спасли иностранца с зеркальными органами
Фото: скрин с https://bsmp-krd.ru/
Общество

Краснодарские врачи спасли иностранца с зеркальными органами

Врачи краевой больницы скорой медицинской помощи (БСМП) прооперировали 20-летнего гражданина Таджикистана, у которого все органы расположены зеркально. 

Молодой человек поступил в больницу с острыми болями в животе и врачи по симптомам поставили диагноз – воспаление аппендикса. Однако пациент утверждал, что болит с правой стороны. Тогда ему сделали УЗИ, которое подтвердило предварительный диагноз. Однако аппендикс у мужчины, действительно, находился справа. Как и все органы, которые должны были быть с противоположной стороны - сердце, печень, селезёнка и др. Только об этой своей природной уникальности пациент даже не догадывался.

В экстренном порядке мужчину прооперировали, но для докторов это был непривычный процесс.

"То, что обычно во время операции делаешь правой рукой, приходилось делать левой. Операционное оборудование тоже поставили с другой стороны",

- рассказал врач-хирург краевой БСМП Артём Сыроватка.

После успешно проведённой операции и лечения пациента уже выписали из больницы.

Уважаемые читатели «Царьграда»! Присоединяйтесь к нам в соцсетях "ВКонтакте", в Одноклассники. Подписывайтесь на наш канал в Дзене и телеграм-канал. Там все самое интересное. Если вам есть чем поделиться с нами, присылайте свои наблюдения, вопросы, новости на электронную почту ug@Tsargrad.TV

Дзен Телеграм
Подписывайтесь на наши каналы и первыми узнавайте о главных новостях и важнейших событиях дня.

Читайте также:

Звёздные войны. "Старлинк" против "Телеграма" "Круче дела Эпштейна!": Торговля русскими детьми вышла на небывалый уровень. Откровения турецкого адвоката От 100 тысяч рублей: аналитики назвали самые высокооплачиваемые вакансии в Краснодаре на конец года Урожай риса на Кубани в 2022 году упал на треть из-за аварии на Фёдоровском гидроузле На Кубани пенсионер на автомобиле насмерть сбил двух женщин: будет суд

У вас есть возможность бесплатно отключить рекламу

Отключить рекламу

Ознакомиться с условиями отключения рекламы можно здесь